外泌體改善纖維化案例
根據國衛院研究發現, 利用特殊技術刺激間質幹細胞,可分離出具有修復細胞功能的「幹細胞外泌體」(Stem Cell-derived Exosomes),鑑定出促使腦神經再生及腦部功能恢復之活性物質,此研究顯示,幹細胞外泌體具有促進組織再生的能力,對再生醫療帶來新的突破。
何謂「外泌體」(exosomes)?
在培養幹細胞的過程中,科學家就在培養基中發現了許多的外泌體在其中,就像是小泡泡一樣充滿在其中。於是就將它們萃取出來研究,在過去以為是廢棄物的外泌體,在這研究下被發現它們有著以下的功能。
"幹細胞外泌體"
Stem Cell-derived Exosomes
小角色被重新定義
在過去,外泌體的功能一直未明,科學家只發現細胞們會不斷分泌一些小泡泡,以為這些泡泡是細胞排出廢棄物的方式。被誤以為是廢棄物的外泌體,在近幾年被重新發現,其實是細胞間重要的傳遞使者。
適應症
退化性疾病、組織或器官損傷、細胞缺陷、神經退化性疾病、腦與脊髓創傷、腦中風、學習障礙、巴金森氏症、心肌梗塞、肌肉萎縮症等疾病。
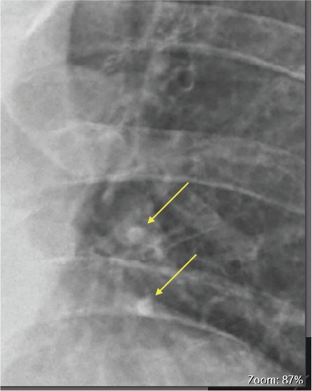
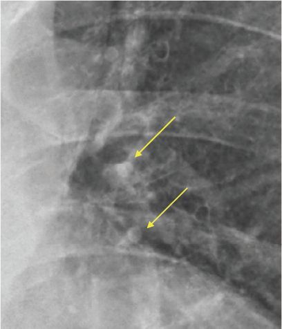
案例分享
外泌體與肺纖維化
2022/12/12 林先生 69歲
施打外泌體前
1.兩肺纖維化
2.左肺門附近結節x2,約0.4公分
3.血氧濃度92%
施打外泌體後
1.兩肺纖維化改善
2.左肺門附近結節變小
3.血氧濃度 >95%





